栃木県宇都宮市ハートフルにわの歯科医院 治療内容・費用

HOME > 当院のインプラントの特徴

宇都宮市ハートフルにわの歯科医院インプラント

当院のインプラントの特徴

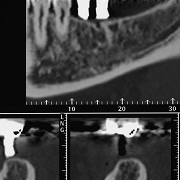
CT撮影による診査・診断


インプラント手術では 顎の骨にインプラントを植えます。
顎の骨の形や 血管・神経の位置、隣の歯の根の位置は 人それぞれで 普通のレントゲン撮影では はっきりとは見ることができません。
当院では CT撮影をすることにより これらの位置を把握し 的確なインプラントの位置や大きさを診査・診断し 安全に手術を行います。

ハートフルにわの歯科医院 インプラントCT撮影

高い滅菌レベルでの手術


インプラント手術は 生体内にチタン製のインプラントを植える手術なので 高い滅菌レベルの中で手術をしなければなりません。
当院では 術者が滅菌状態で手術ができるよう 第1助手、第2助手の複数のアシスタントと手術に臨んでいます。
手術の器具や術者の手術着まですべて ディスポーザブルを中心に滅菌されたものを使用します。

ハートフルにわの歯科医院 インプラント滅菌

信頼できるインプラントシステムの使用


インプラントシステムは日本国内だけでも数十種類存在します。
当院では 世界的に信頼の高いストローマン・ジャパンとノーベル・バイオケア・ジャパンのインプラントを使用しています。
これらのインプラントシステムは 過去のデータや製品の種類が豊富で 実績や信頼があります。
体の中に入れるものだからこそ 信頼のできるシステムをお勧めしています。

ハートフルにわの歯科医院 インプラントシステム

インプラントを長持ちさせるために


インプラントを長持ちさせるためには メインテナンスが大切です。
日々のご自身による歯ブラシなどのセルフケアに加え 歯科医院での定期的なかみ合わせの調整やクリーニングが必要です。
ハートフルにわの歯科医院では 3ヶ月から半年の期間で インプラントのメインテナンスを行っています。
何も不具合のないうちにしっかりとメインテナンスしておくことが 長く使用していただき健康でお過ごしいただくための秘訣です。

ハートフルにわの歯科医院インプラントメインテナンス