2025/07/23

睡眠歯科学会の勉強会に参加してきました

 

 
 
こんにちは。院長の庭野です。
今回は睡眠歯科学会の勉強会に参加してきました。
 
現在、国内外で睡眠に対する関心が高まっており、なかでも睡眠時無呼吸は日本に潜在患者が900万人いるといわれています。治療に際しては医科歯科連携が非常に大切ですので、今回のセミナーでは医科の睡眠医学を専門としている先生方とも交流を持てて、とても有意義な勉強会でした。
以前もお伝えしましたが、矯正治療を希望されるお子さんの多くは顎顔面の劣成長が認められ、劣成長の結果として歯列不正が生じたりいびきをかくことが多いため、私達は専用の問診表を用いて睡眠に対する関連症状を把握しています。
 
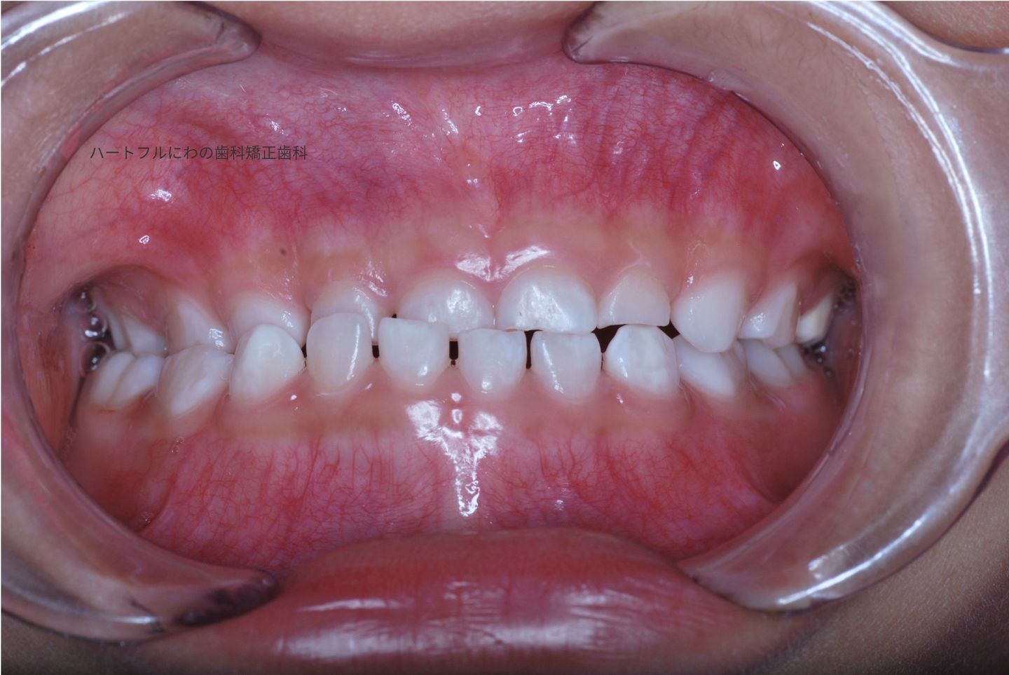
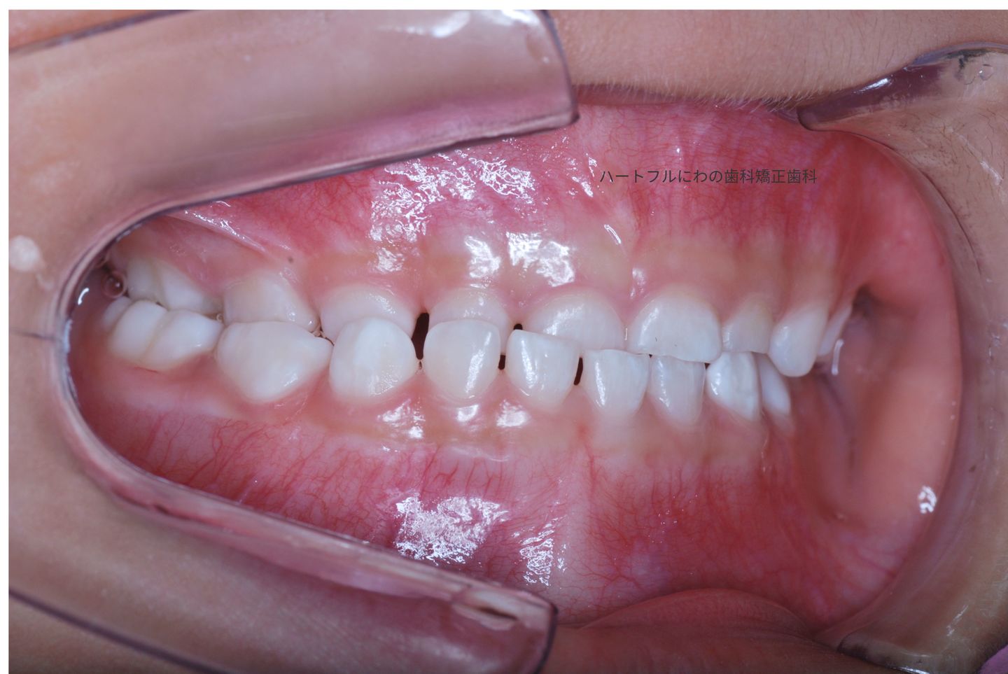
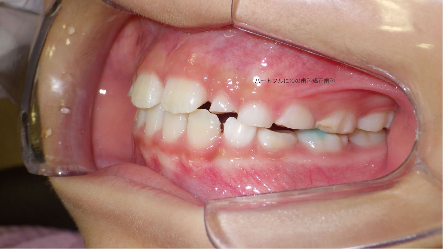
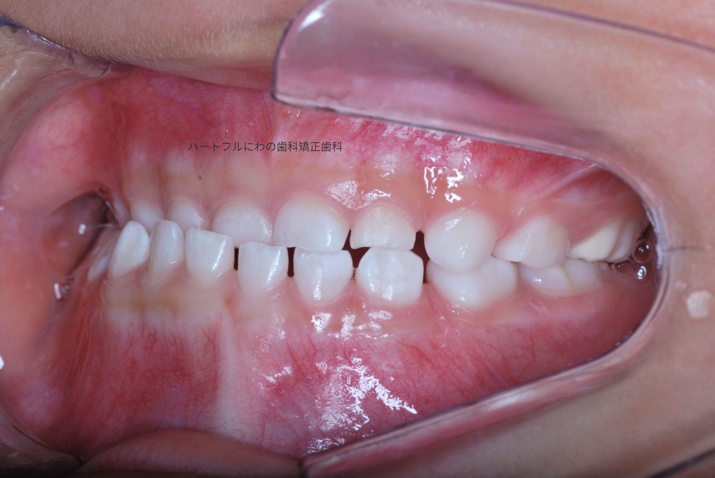
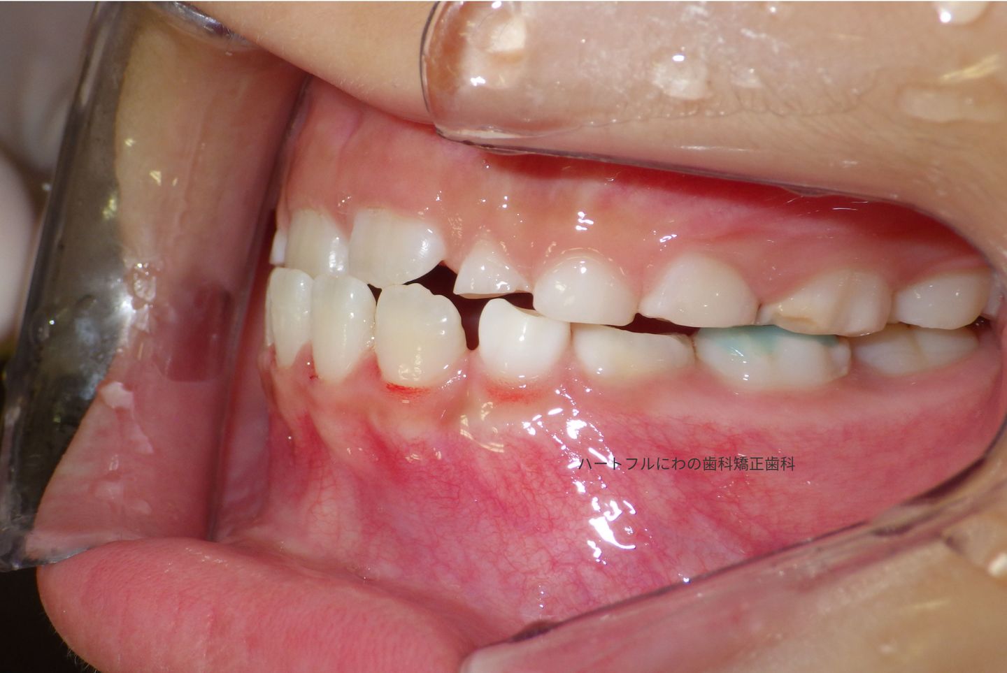
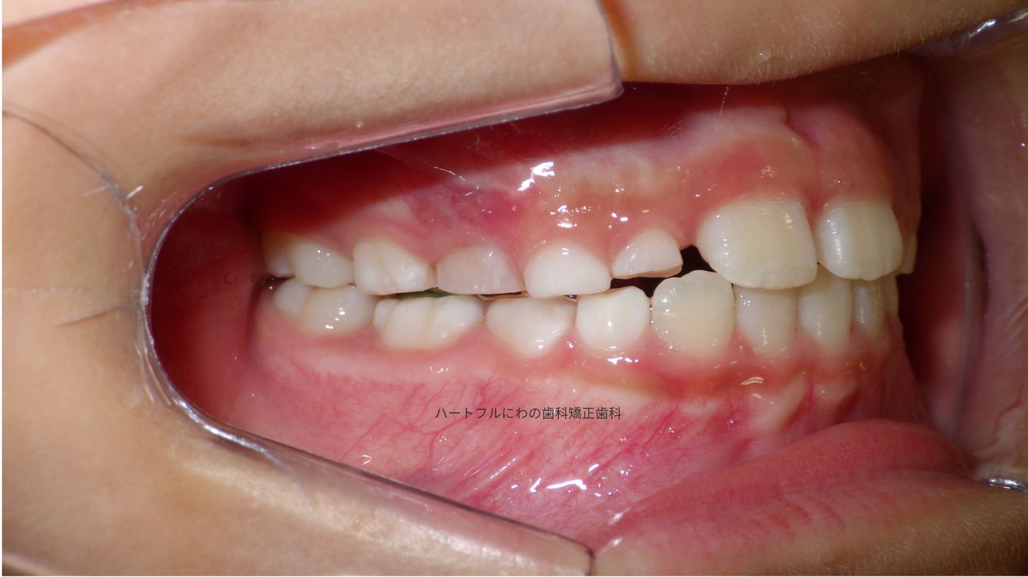
患者さんは5歳の男児ですが、幼稚園で顔のゆがみを指摘されて心配になり来院されました。問診にて就寝時のいびきがひどく、夜中に息をこらえて頻繁に寝返りを打ち、たびたび夜中に目を覚ましていました。口腔内を診ると上下の真ん中があっておらず下顎が大きく右にずれ、上の右側半分が全て反対のかみ合わせになっていました。

 

顎の成長時期はおおむね全身の成長時期と一致しますので、このまま放置すると体が大きくなるにつれて下顎骨が向かって左方向(患者さんの右側)に成長してしまいます。
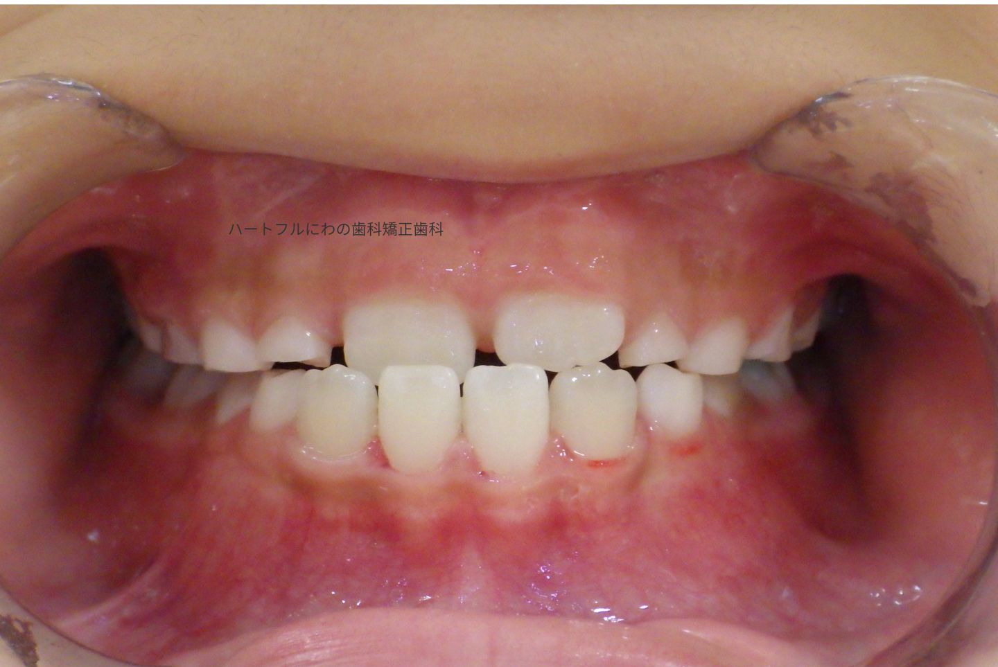
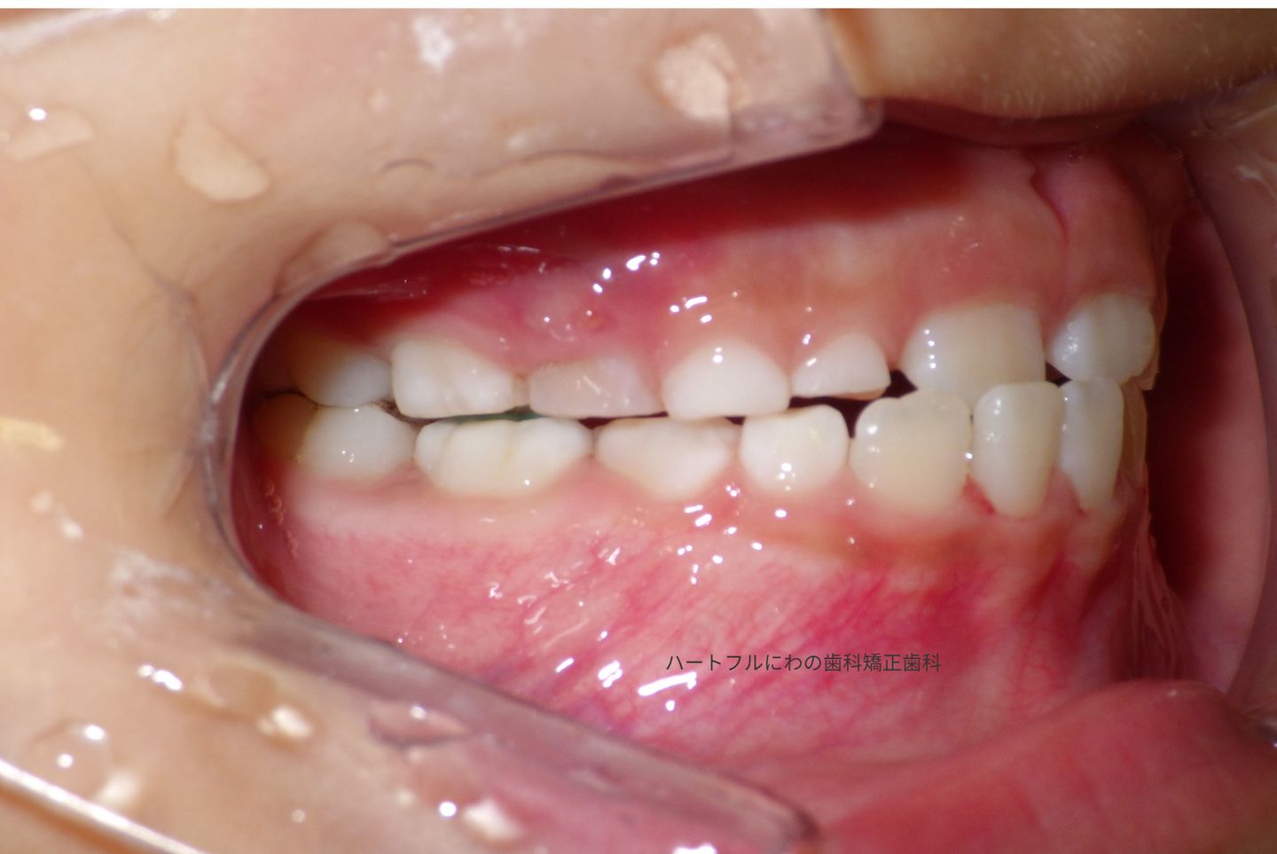
まずは横幅の問題を治して、約8か月でいびきがなくなりました。

 

 

さらに前後的な問題を治しました。このフェーズでは下顎を下げるのではなく、劣成長になっている上顎を成長させることに注力しています。大きくずれていた真ん中もあっています。永久歯萌出まで機能的矯正装置を継続中ですが、反対咬合の再発はありません。

 

 

睡眠時無呼吸に対する矯正治療の効果についても多くの論文が出てきていますので、当院でもエビデンスを蓄積していきたいと思います。