2023/03/12

お子様の矯正症例1

 

 
 
こんにちは。院長の庭野です。
開院して12年近くになりますので、成人に対する矯正治療とならんで、開院時から積極的に取り組んできた小児に対する矯正治療の結果が出てきましたので、皆様の参考になればと思い、できる範囲でご紹介したいと思います。
 
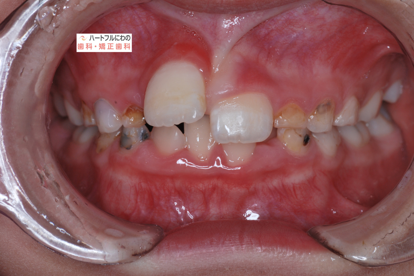
初診時は約5年前の6歳6か月で、遠方から歯並びの相談でご両親とともにいらっしゃったのを覚えています。近医では様子を見ましょうと言われたが、そのまま放ってよいのか心配でご来院されました。
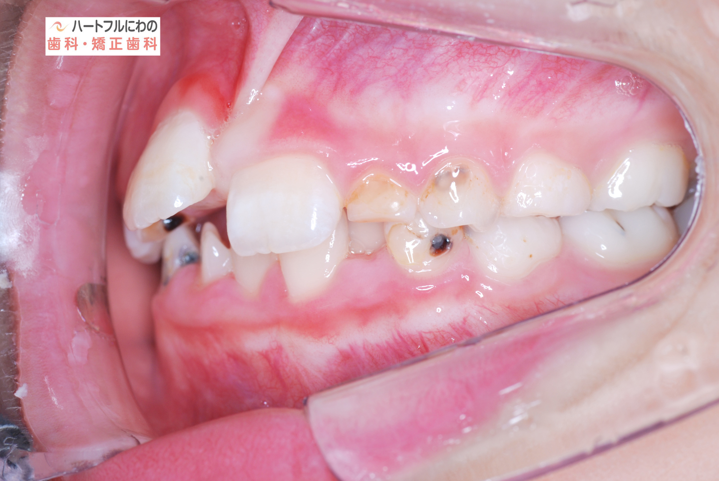
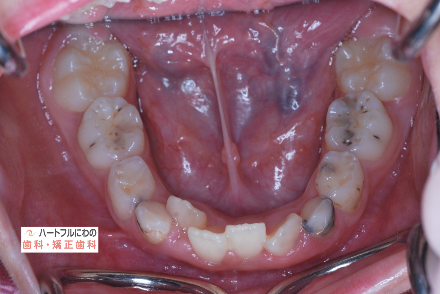
お口の中を拝見すると、上下の叢生(いわゆるガタガタ、乱ぐい)がみられ、多数の虫歯と歯肉炎がみられました。上唇小帯(上唇のすじ)の問題もありました。口呼吸で口腔内が乾燥すると通常の何倍も歯垢が付きやすくなり、虫歯や歯肉炎が頻発します。口呼吸の強い子は重なっている部分のかみ合わせが深い(下の歯がほとんどみえない)のもよく見られる特徴です。

呼吸に問題があることが強く疑われる場合、私達は専用の問診表を用いて診断の資料としています。
初診時には頻繁に寝返りを打ったり、たびたび夜中に目を覚ましたりといった睡眠障害があり、朝起きると疲れがとれていませんでした。夜尿も頻繁にみられました。
また、重度の口呼吸で、鼻水が常に出ているような状態でした。それに伴い感情的にも不安定で集中力にかけ、集中できる時間が短いということを親御さんは感じていらっしゃいました。また、悪い姿勢や癖もあり、姿勢は前かがみで、座っているときは頻繁に頬杖をついている状態でした。それらが呼吸の問題や筋機能の問題と強く関連していると説明したところ親御さんは全く予想だにしない話に驚いていらっしゃいましたが、早急に治療を進めてほしいとのことですぐに精密検査を行い、お子さんも交えて十分なカウンセリング後に早速治療を開始しました。
 
約半年間、成長不全の顎骨を正常に整え、歯の移動も並行して行いました。治療開始から口呼吸の問題は約2か月で大幅に改善、3か月で夜間睡眠は改善し夜尿もほぼなくなりました。それに伴って徐々に他の問題も改善されていきました。小帯に対する外科処置も含めて当院で行うことができます。
治療開始から約6か月後に固定式の装置(患者さんが自分で取り外しできない装置)から、呼吸や筋機能の改善を主な目的とする可撤式の装置(取り外しできる装置)に変更し、正常な呼吸と筋機能を獲得するためのトレーニングを行いながら、全ての永久歯が萌出して仕上げの矯正に移行するまで待ちます。
その間に食事指導も含め、虫歯や歯周炎の管理も行います。このお子さんは炭酸を含む清涼飲料水が好物でその指導に苦労しましたが、初診時以降は虫歯の発症なく、思春期性の歯肉炎も軽度ですんでいます。

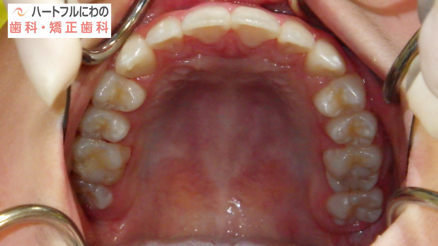
奥歯と前歯の前後的位置関係は大きく改善し、正常になりました。
細かい部分の修正や緊密な咬み合わせを作るための二期治療(仕上げ)は一年以内で終了予定です。
5年前、そのままにしておいたら現在の歯並びになったでしょうか?私にはそう思えません。
なぜなら、歯並びは遺伝的要素のみで決まるのではなく、成長期における習癖や筋肉の使い方によって大きな影響を受け、成人に近づくにつれて定着するからです。呼吸の問題や悪習癖が長く放置されればされるほど問題は複雑になり、おそらく抜歯を伴った複雑な矯正治療が必要になったでしょう。
早いうちに呼吸や筋肉の問題を修正してあげることが、健全な歯並びや学力の向上を含めた全人的な発育を育むために重要と考えて、できるだけ負担の少なく、最大限に効果のある方法を採用しています。小児期に改善すると成長を利用できるので、私たちもいつも全身状態を含めた劇的な変化に驚かされます。
 
これからも小児には健全な発育とむし歯の無い健康なかみ合わせを獲得できるよう、成人にはよく噛めて綺麗な口元で自信をもって過ごしていただけるためのお手伝いをさせていただければと思います。当院で治療を受けるメリットは口腔内はもちろんのこと全身状態を含めたトータルで治療を受けられることと思います。
以上、参考にしていただけましたら幸いです。